表参道、根津の美容院cooetfuu(クーエーフー)>cooetfuu(クーエーフー)のセルフホワイトニング


以下の施術例は、1セット(8分×2回照射)を行った際の施術前/施術後になります。※効果の表れ方には個人差があります。

初月はまず本来の歯の色に近づける期間として4回~5回(約週1回)来て頂き、翌月以降はメンテナンスとして、その色味を維持するために月に1~2回通って頂くことをお勧めしています。
以下の施術例は、3セット(8分×2回照射)を行った際の施術前/施術後になります。※効果の表れ方には個人差があります。

初月はまず本来の歯の色に近づける期間として4回~5回(約週1回)来て頂き、翌月以降はメンテナンスとして、その色味を維持するために月に1~2回通って頂くことをお勧めしています。
以下の施術例は、6セット(8分×2回照射)を行った際の施術前/施術後になります。※効果の表れ方には個人差があります。

初月はまず本来の歯の色に近づける期間として4回~5回(約週1回)来て頂き、翌月以降はメンテナンスとして、その色味を維持するために月に1~2回通って頂くことをお勧めしています。
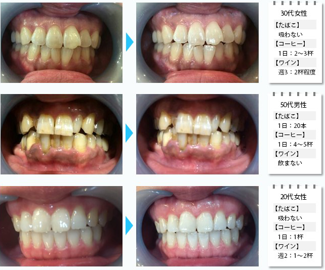
以下の施術例は、10セット(8分×2回照射)を行った際の施術前/施術後になります。※効果の表れ方には個人差があります。

初月はまず本来の歯の色に近づける期間として4回~5回(約週1回)来て頂き、翌月以降はメンテナンスとして、その色味を維持するために月に1~2回通って頂くことをお勧めしています。

サービス提供内容をご確認いただき、問題が無ければご署名をいただきます。

いつも通りの歯磨きをしていただきます。※歯磨き粉をつけます。

歯と色が近い番号(S○○)を確認します。※標本は強く引けば抜くこともできます。

汚れがついてしまわないように紙エプロンを付けます。(ザラザラとした面が表)

唇の乾燥を防ぐために保湿クリームを塗布していただきます。※リップクリームなど

マウスオープナーのくぼみの部分を片側ずつ唇に引っかけるように装着します。

ティッシュ等で歯の表面の水分や唾液をしっかりとふき取ります。

ボトルをよく振り、真ん中・右・左と3プッシュ歯に吹きかけます。

LED光から目を守るアイガードを装着します。

スタートボタンを押し8分間LEDを歯に照射します。8分後ブザーと共に自動で消灯します。

唾液等がたれないように上を向きながら、アイガードとマウスオープナーを外します。

2回目の歯磨きを行います、この際は歯磨き粉を付けなくても大丈夫です。

⑥~⑫の工程をもう1セット繰り返し行います。

最後にもう一度歯みがきを行っていただきます。2回目同様に歯磨き粉は不要です。

サイドシェードガイドを使って施術前との変化をご確認ください。
Copyright© 2024 coo.et.fuu 表参道店 All rights reserved.